Gingivitis Treatment
The Smile Makers
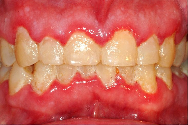
Gingivitis
Treatment
Gentle & Effective Gum Care at Smile Makers Dental Clinic
Gingivitis is an early stage of gum disease that affects the gums around your teeth. If left untreated, it can progress to more serious periodontal problems. At The Smile Makers Dental Clinic, we provide expert gingivitis diagnosis and treatment in Mumbai using gentle, modern dental care to protect your gum health and restore your smile.

When Is Gingivitis Treatment Needed?
Gingivitis treatment is recommended if you experience any of the following symptoms:
Red, swollen, or tender gums
Bleeding during brushing or flossing
Persistent bad breath or bad taste
Receding gumline
Pockets forming between teeth and gums
Loose or shifting teeth
Early treatment helps prevent gingivitis from progressing into serious gum disease. If you notice any of these signs, schedule a consultation at The Smile Makers Dental Clinic in Mumbai for timely care and guidance.
What is gingivitis treatment?
Gingivitis treatment typically involves a combination of professional dental care and good oral hygiene practices. The goal is to eliminate the underlying cause of gingivitis, which is plaque buildup and bacteria along the gumline.
What Are The Benefits Of Gingivitis Treatment?
Timely gingivitis treatment offers several important benefits, including:
Restores Gum Health: Reduces gum inflammation, swelling, redness, and tenderness.
Prevents Tooth Loss: Stops gingivitis from progressing to advanced gum disease.
Improves Bad Breath: Eliminates bacteria that cause persistent bad breath.
Supports Overall Health: Helps lower the risk of health conditions linked to gum disease.
Enhances Smile Appearance: Improves gum appearance and boosts confidence.
Early treatment combined with good oral hygiene helps maintain healthy gums and long-term oral health.
How Is Gum Surgeries Performed?
Gingivitis treatment involves professional dental care combined with good oral hygiene habits:
Professional Dental Cleaning: Removal of plaque and tartar from teeth and gumline to reduce inflammation.
Oral Hygiene Guidance: Education on proper brushing, flossing, and dental care techniques.
Improved Home Care: Brushing twice daily, flossing regularly, and using antiseptic mouthwash.
Lifestyle Changes: Quitting smoking, maintaining a healthy diet, and managing health conditions.
Regular Dental Check-ups: Routine visits to monitor gum health and prevent recurrence.
Treatment may vary depending on the severity of gingivitis. A dentist will provide a personalized care plan for best results.
need more help ?

Mobile Number
+91 7506 222 666

Email support
info@thesmilemakersdental.com

timing
10:00AM to 07:00PM (Monday to Saturday)
(Sunday Closed)

address
The Smile Makers Dental Clinic, Ground floor, 2A, DENTAL CLINIC, Sadanand Classic, 33rd Rd, near McDonalds/ MOCHI, Khar, Khar West, Mumbai, Maharashtra 400052
