The Smile Makers
Dental Clinic
Redefining your dental care experience
Let’s keep the Smile Makeover a secret! Amaze the World with your Beautiful Smile from the Best Dentist in Khar West. Click the button below to book a consultation
MEET
DR. MOHIT BODHWANI
CHIEF DENTIST / ENDODONTIST
The Smile Makers
Dr. Mohit Bodhwani is a highly skilled and compassionate dental professional with extensive experience in root canal treatments, restorative dentistry, and smile enhancement procedures. He is dedicated to providing painless, precise, and long-lasting dental solutions using the latest advancements in modern dentistry.
With a strong academic background and years of clinical expertise, Dr. Mohit believes in conservative treatment planning, ensuring that patients receive the most effective care while preserving natural teeth whenever possible.
treat
yourself to
exceptional dentistry
Why Choose Our
Dental Clinic
near you

Integrated Dental Care
Emphasizing the oral-systemic link, our dental clinic near you creates treatment plans for confident, functional smiles.

Minimally Invasive Solutions
We use dental techniques and technology that help preserve and enhance the natural tooth structure.

Rooted in Convenience
Our warm and welcoming environment will help you feel like part of our dental family.

On Your Terms
Enjoy easy parking, online booking, and flexible hours, with morning and evening availability.
Expert
dental care
for healthy, confident smiles.
Treatment Offered
RootCanal Treatment
Root canal treatment is a dental procedure that saves and restores a severely infected or damaged tooth…
Teeth Fillings
Teeth fillings are dental restorations used to treat cavities or repair damaged teeth by filling the empty space…
Dentures
Dentures are removable dental appliances designed to replace missing teeth and surrounding tissues, restoring the…
Dental Implants
Dental implants are permanent artificial tooth roots that are surgically placed into the jawbone, providing………..
Teeth Braces
Teeth braces are orthodontic devices consisting of brackets, wires, and bands that apply gentle pressure to………
Clear Aligners
Clear aligners are transparent, removable orthodontic devices that gradually shift and align teeth, providing a discreet…
Teeth Cleaning
Teeth cleaning is a professional dental procedure that involves the removal of plaque, tartar, and stains from the teeth…
Teeth Whitening
Teeth whitening is a cosmetic dental procedure that lightens and brightens the natural color of teeth, removing……….
Smile Designing
Smile designing is a comprehensive dental approach that combines various cosmetic treatments to enhance……………..
Tooth Crown
A tooth crown, also known as a dental crown, is a custom-made protective cap that covers a damaged or weakened…
Dental Bridges
Dental bridges are fixed dental restorations that bridge the gap created by one or more missing teeth, using adjacent teeth…
Tooth Extraction
Tooth extraction is a dental procedure in which a tooth is removed from its socket in the jawbone, typically due to…
Teeth Scaling
Teeth scaling, also known as dental scaling, is a professional dental procedure that involves the thorough removal…
Gingivitis
Gingivitis is a common gum disease characterized by inflammation and irritation of the gums, often caused………..
Gum Surgeries
Gum surgeries are dental procedures aimed at treating various gum-related issues, such as gum disease or gum……….
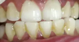
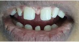
Before
and after
Witness the Magic
The Smile Makers












9,000
Fixed Smiles

9+
Doctor and Staff

60
Years Of Combined Experience

1,000
Treated Patients
The Smile Makers
The Smile
Makers Dental
Caring for your smile with expertis
At The Smile Makers Dental Clinic in Mumbai, India, we believe every smile tells a story — and we’re here to make it a beautiful one. We combine state-of-the-art dental technology with compassionate, patient-centered care to ensure your visit is comfortable, stress-free, and tailored to your unique needs.
meet your
dentist
The Smile Makers
OUR
specialist
Expert & Professional Our Dedicated Dental Team
Our team of experienced dental specialists is dedicated to delivering precise, painless, and personalized care using advanced dental techniques.
DR. MOHIT BODHWANI
CHIEF DENTIST / ENDODONTIST
DR. SHAILI SHAH BODHWANI
ORTHODONTIST
it starts
with
hello
Call +91 7506 222 666 text +91 7506 222 666
and online booling
